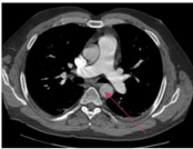
SΓ©miologie Test 0% 28 votes, 4.8 avg 0 You will have 60 minutes to complete all the questions. After the timer reaches 60 minutes, the exam will end and be saved automatically. Good luck! *Fingers crossed* The timer has been reached. The exam has now been terminated and saved. SΓ©miologie Test 1 / 60 Quelle est la densitΓ© de lβos sur la radiographie thoracique simple? a. Peu opaque b. Clair c. TrΓ¨s clair. d. Opaque e. TrΓ¨s opaque 2 / 60 Parmi les propositions suivantes laquelle est vraie ? a. Pharynx sΓ©parΓ© en 5 Γ©tages. b. Pharynx sΓ©parΓ© en 3 Γ©tages. c. Pharynx sΓ©parΓ© en 2 Γ©tages. d. Pharynx sΓ©parΓ© en 6 Γ©tages. e. Pharynx sΓ©parΓ© en 4 Γ©tages. 3 / 60 Concernant le sinus sphΓ©noΓ―dal, quelque est la proposition exacte ? a. Le sinus sphΓ©noΓ―dal se draine dans la fosse nasale par le canal fronto-nasal. b. Le sinus sphΓ©noΓ―dal peut Γͺtre explorΓ© par lβΓ©chographie. c. Le sinus sphΓ©noΓ―dal situΓ© dans lβos maxillaire. d. Le sinus sphΓ©noΓ―dal situΓ© dans lβos frontal. e. Le sinus sphΓ©noΓ―dal se draine dans la fosse nasale par lβostium sphΓ©noΓ―dal. 4 / 60 Concerning the evolution of hepatitis A, what is the most appropriat answer ? a. Hepatits .A can evolve to cancer b. Hepatits .A canβt evolve to chronic c. Hepatitis.A can evolve to cirrhosis d. Hepatits .A can evolve to chronic e. Hepatits .A can evolve to fulminant 5 / 60 Un homme qui boit 3 canettes de la bierre βAngkorββ (5 degree, v= 330 ml)) par jour, vient vous consulter pour βhepatomegalie. Est ce quβon peut le definir lβalcoolisme ? a. Non, car il faut comsommer plus de 30 g/j b. Non, car il faut comsommer plus de 50 g/j c. Oui, car il boit 2 canettes de bierre par jour d. Non, car il faut comsommer plus de 100 g/j e. Oui, car il boit 3 canettes de bierre par jour 6 / 60 Quelle est la complications aigue de lβintoxication dβalcool ? Choississez la reponse la plus appropriee : en cas de lβalcoolemie a partir de 0,30-0,50g/l a. Cephalee b. vomissements c. Trouble visuel d. Coma e. Insomnie 7 / 60 Concerning hepatitis B, what is the most appropriate answer to mode of transmission in Cambodia ? a. Sexual transmission b. Horizontal transmission c. Oral-fecal route d. Vertical transmission e. Transfusion 8 / 60 Un policier vous demandera un jour de souffler dans un ethylotest en raison de suspicion de lβivresse. Parmi les propositions suivantes, laquelle est la plus approprie ? a. Ce test est de mesurer lβalcool dans lβurine b. Ce test est de mesurer la quantite dβalcool consome c. Ce test est de mesurer lβalcool sans la sueur d. Ce test est de mesurer lβalcoolemie e. Ce test est de mesurer lβalcool dans lβestomac 9 / 60 Concerning the prevention, what is the most appropriate mesure in Cambodia ? a. Vaccination for adulescence and young adults b. Vaccination for all people at risks c. Vaccination for those who have no natural antibodies d. Universal vaccination for all new borns e. Vaccination for all sex workers 10 / 60 Comment eΜvalue-t-on une hypertrophie ventriculaire gauche aΜ lβECG ? a. SV1+RV5=30mm b. SV1+RV5= 35 mm c. SV1+RV5= 15 mm d. SV1+RV5 = 25mm e. SV1+ RV5 = 20mm 11 / 60 Quelles sont les deΜrivations repreΜsentant la paroi anteΜrieure du VG ? a. D1, aVL b. V7-V8-V9 c. D2, D3, aVF d. V5, V6 e. V1, V2, V3 12 / 60 Parmi les techniques de radiographie du thorax de face si dessous, quelle technique qui donne lβagrandissement de lβombre du coeur chez lβenfant: a. . CouchΓ© latΓ©rale droite, rayon horizontal en PA b. . Debout, rayon en PA c. . CouchΓ© latΓ©rale gauche, rayon horizontal en PA d. . Debout, rayon en AP 13 / 60 OpacitΓ© macronodulaire Γ contours nets est vu dans: a. . Tumeur pleurale b. . Tumeur mΓ©diastinale c. . Pneumonie banale d. . MΓ©tastase pulmonaire e. . AtΓ©lectasie 14 / 60 Les propositions suivantes concernent la moelle eΜpinieΜre : a. Il existe 5 paires de nerfs sacrΓ©s et 5 paires de nerfs coccygiens. b. On peut diviser la moelle Γ©piniΓ¨re en 31 myΓ©lomΓ¨res. c. Chaque myΓ©lomΓ¨re contient au moins un arc rΓ©flexe (myotatique) et est en rapport avec un segment de muscle (myotome), de peau (dermatome) et de viscΓ¨re (viscΓ©rotome) d. La racine motrice des nerfs sort de la moelle Γ©piniΓ¨re par le sillon latΓ©ral dorsal. e. Le renflement de la racine dorsale correspond au ganglion du SNOV. 15 / 60 αααα»ααααααααα·αα»αααΆαβ ααΎα ααα»α ααΆααααΆααααΆααα? a. ααΉαααΉαα αααΎα b. αααααααα½ααααααααα»αααααααΆ c. α§ααααΆα αααΈαααα αα·ααα»α d. ααα½αααΆαα’αΆα αΆαα αααΎα e. α αα‘αΎαααΆααΆαα’ααααααΉαααααΌαα 16 / 60 Quel est le moyen dβimagerie mΓ©dicale, le plus facile, peut coΓ»teux, non irradiant et non invasive pour dΓ©tecter les pathologies de la femme? a. . Radiographie interventionnelle b. . TDM c. . Radiographie standard d. . IRM e. . Echographie 17 / 60 Le contenu liquidien de la veΜsicule biliaire normal aΜ lβeΜchographie apparaiΜt en : a. Hyper et hypoΓ©chogΓ¨ne b. HypoΓ©chogΓ¨ne c. IsoΓ©chogΓ¨ne d. AnΓ©chogΓ¨ne e. HyperΓ©chogΓ¨ne 18 / 60 On peut reconnaiΜtre les intestins greΜles sur lβASP par : a. Image clartΓ© en HCG b. Les valvules de conniventes c. Les granitΓ©s stercoraux d. Lβair en pΓ©riphΓ©rie de lβabdomen e. Les haustrations 19 / 60 Lβexamen si-dessous est un : a. ASP debout normal b. ASP en dΓ©cubitus latΓ©ral droit normal c. ASP en dΓ©cubitus latΓ©ral gauche normal d. ASP couchΓ© normal e. ASP debout pathologique 20 / 60 αααα»ααααααΆα symptoms ααΆαααααα ααΎsymptom αα½αααΆαααααΆαααααΆααααααααΆαα½ααα·α HEENT disorders? a. Swelling in calves b. Weakness c. Nasal stuffiness d. Nocturia 21 / 60 αααα»ααααααΆα ααΆαααΆαααααααΆαααααα ααΎααΆαααΆαααααααΆαα½ααααααααΌαααααΆααΆαα½αααΌαααΆαααααΆααααααΆαα½α? a. Brachioradialis reflexes b. Biceps reflexes c. Triceps reflexes d. Patella reflexes 22 / 60 αααα»ααααααΆα techniques of examination ααΆαααααα ααΎtechnique ααΆαα½ααααα’αΆα ααΆαααααtendernessααΆα? a. Auscultation b. Palpation c. Percussion d. Inspection 23 / 60 αααα»ααααααΆα ααΆαααΆαααααααΆαααααα ααΎααΆαααΆαααααααΆαα½ααααααααΌαααααΆααΆαα½αααΌαααΆαααααΆααααααΆαα½α? a. Auscultation for aortic valve regurgitation b. Auscultation for mitral regurgitation c. Auscultation for aortic valve stenosis d. Auscultation for mitral stenosis 24 / 60 αα»ααααααΆααα’αΆαα»α¦α₯ααααΆα ααααΌαααΆααααααααΌααααααααΈααααααααΆαααααΆαααααααΆαα α»αααααΌαα ααΆαααΆααα½ααααααααα·αααααΊααΆααααα αΆαααΆαααααΆαα‘αααααα»αααα α’ααααααααΊααΆαα’αΆααΆααα α»αααααΌααααααΆααα‘αΎααααααΎααααα ααΌαααΆααααααα ααΆααααΈα£ααα»αααααΌααααααΆααα‘αΎαααα ααΆααααΈα’ααΆααααΆαα’αΆααααααααΆαααααααΌα αα·αα αααααααΆααααα‘αΎαααααααΆαα¦ααΆααααααΆααα α»ααααΆαααααΆαα αα α ααααααΆαααααΌαααΆαααααααααΌα ααααΆαα αΎαα αΆαααα ααααΆα ααααΆααα·α ααααααα αα·ααΆααααααα αΎα αααααΎα αα·ααααααΆααα α»αααα α»αααΎαα αααα»ααααααΆααααααα·ααααααΆαααααα ααΎαααααα·ααααααΆαα½αααααααααΆααααΈ Pain onset? a. α’ααααααααΊααΊααααΌαααΆαααααααααΌα ααααΆα b. α’ααααααααΊααΊααααΆαααα α ααααααΆαααααΌα c. α’ααααααααΊααΊααααΌαα αΆαααα ααααΆα ααααΆα αα·α ααααααα d. α’ααααααααΊα αΆααααααΎααααααααΌααααααΆααααα‘αΎααααααΎααααααΆααααΈα’ 25 / 60 αα»ααααααΆααα’αΆαα»α₯α ααααΆα ααΆααααΌααααααααΆαα αΌααααα·αα·ααα αα·ααα·ααααααααααΊααΆαααΈααααααΈα’α ααΈα αΆα’α α‘α¦ αααααΌαα ααα»ααΊαααα½αααΎαααααΆαα α’ααααααααΊααΆααααααΆααααΆααΆααααΆαα’αΆααααααααΉα αα·αααααααα½αααΎαααααΆα αα αααααΎαααΆαα ααααΆααααα ααα£α α αααααα αα αααααΆααααααΎαααααααα ααΆαα αααΆααα·αα€α α αααααααααα½αααΎαααΆααα‘αΎαααΉαα αΎαα α»αααααΆαααααα½αα’ααααΆαααααααααΆααααααΆαα₯ααΆααΈααΎαααΆααααΊα α’ααααααααΊαααααΆααΈα‘ααααα‘αααα ααααααααα£α’ααααΆαα αΎαα ααΆααααααΆααααααΆααααααααΆαααΈααΈααααΆααα»ααααααΆααααααΊααΎαααΆα α αΎαααααααααΎααααΆαααΎαααΆααα αΌαααααααααα α³αα»αααΆααααΆαααααΆααααΆαααΈααααΆααα»α αααααΆαααααΊααΎαααΆαααααααα ααΎα’αααΈαα ααΆ Personal and Social History ααααα’ααααααααΊααΆαααΎ? a. α’ααααααααΊα α»ααααα½αααΎαααααΆααααΆαααααΆαα αααααααΎαααΆααα·αα€α α ααααααα αΎαααΌαααααΆααα αα·ααααααααΆαααΆααααααΆαα₯ααΆααΈ b. ααΆααααααΆααααααΆααααααααΆαααΈααΈααααΆααα»ααααααΆαααααΊααΎαααΆα c. α’ααααααααΊαααααΆααΈα‘ααααα‘αααα ααααααααα£α’ααααΆαα αΎα d. α³αα»αααΆααααΆαααααΆααααΆαααΈααααΆααα»ααααααΆααααααΊααΎαααΆα 26 / 60 Which of the following structures is most likely to be identified posteriorly on a chest CT scan at the level of the diaphragm? a. ) Pancreas b. ) Aorta c. ) Spleen d. ) Inferior vena cava e. ) Liver 27 / 60 Radio-anatomie du thorax, choisissez lβun des suivants: a. ArtΓ¨re pulmonaire b. Ventricule droite. c. Aorte thoracique d. Aorte abdominal e. Tronc de lβartΓ¨re pulmonaire 28 / 60 Radio-anatomie du thorax, choisissez lβun des suivants: a. Aorte b. Tronc de lβartΓ¨re pulmonaire c. Ventricule droite d. ArtΓ¨re pulmonaire e. ArtΓ¨re pulmonaire droite 29 / 60 Choose the correct order for the path of sperm from the testes to outside the body. a. ductus deferens – epididymis – ejaculatory duct – penis b. penis – ejaculatory duct – epididymis – ductus deferens c. epididymis – ductus deferens – ejaculatory duct β penis d. ejaculatory duct – ductus deferens – epididymis – penis 30 / 60 The ______________ of the testes secrete male hormones, such as testosterone. a. interstitial cells b. sustentacular cells c. efferent ductiles d. seminiferous tubules 31 / 60 In sign of βUrgencyβ, patient has difficulty to: a. Empty bladder after urination b. Start urination c. Get to the toilet in time d. Pass urine e. Get up at night to urinate 32 / 60 ααΎ Type ααΆαα½ααα Aneurysm ααααΌαααααΎα‘αΎαααα Angiography ααααΆαα Therapeutic Purpose: a. Artery rupture b. Varicocele c. Artery Dissection d. True Aneurysm e. Echo-Doppler 33 / 60 which ONE of the following statements is true? a. Guidance of conversation is restricting. b. Guidelines use direct questions may be required sometimes and avoid leading questions. c. Guidelines for taking case history cover aspect of disease organ. d. Guidelines for taking case history should be open-ended, not restricting, avoid βyes or no answerβ, patient symptoms should use his own words. e. Guidelines use clear, specific questions and ask one question at a time. 34 / 60 which ONE of the following statements is true? a. Interview patient is conversation with a purpose. b. Interview patient have the interpersonal skills that we use every day. c. Goals of the patient interview are to listen, improve the well-being of the patient through a trusting and supportive relationship. d. Interview patient are skills of clinical care. e. Interview and history taking are purpose, listening, well-being, interpersonal skills, and supportive relationship. 35 / 60 which ONE of the following statements is true? a. Active listening is multiple levels of patientsβ experience. b. Active listening is being aware of the patientsβ emotional state. c. Active listening is the most important skilled interviewing. d. Active listening is the process of closely attending, being aware of patientβs emotional understanding, and encouragement the speaker to continue and expand upon important concerns. e. Active listening is the action of sensitive heard from patient. 36 / 60 Le scanner abdominal en coupe axial, espace para rΓ©nal postΓ©rieur contient: a. la graisse. b. duodΓ©num, surrΓ©nales, vaisseaux rΓ©naux et voie excrΓ©trice haute. c. la vessie, surrΓ©nales, vaisseaux rΓ©naux et voie excrΓ©trice haute. d. la rate, surrΓ©nales, vaisseaux rΓ©naux et voie excrΓ©trice haute. 37 / 60 The confusing patient comes up with the symptoms as an inappropriate behavior. Which is the best following should be applied? a. Spend much time to gather the information b. Give patient medicine instate c. Wait for the patient stable symptoms d. Shift to the mental status examination 38 / 60 The crying patients can be described to one mainly statement below: a. Expression of strong emotion b. Expression of angry c. Expression of the problem d. Expression of fearful emotion 39 / 60 What is the best statement to make a supportive remark when the patient cries by saying in the following? a. Iβm glad you were able tell the problem b. Iβm glad you were able to express your feeling c. Iβm glad you were able handle this situation d. Iβm glad you were able to meet me today 40 / 60 The Symptoms may be described of the ideas are poorly connected, and language is hard to follow. What is the basic label? a. The Mute patient b. The difficult patient c. The confusing patient d. The Deaf patient 41 / 60 Which is the most comprehensive of the interviewing patients in the following statements? a. may predispose several behaviors and situations b. may protect may several behaviors and situations c. may precipitate several behaviors and situations d. may perpetuate several behaviors and situations 42 / 60 Silence patient during the interview the clinician should be encouraged patient to talk. What is the best technique in the following? a. Build relationship and watch closely to the patient b. Build relationship and do not watch closely to the patient. c. Build relationship and observe to the patient. d. Build relationship and support to the patient. 43 / 60 The mental status examination focus on the ability of being ill has been explain as: a. Level of orientation b. Level of insight c. Level of cognition d. Level of consciousness 44 / 60 Choisissez seulement une phrase correcte ci-dessous (Picture11) a. 4-Moelle Γ©piniΓ¨re b. 5-Corps vertebral du L5 c. 3- disque intervertebral d. 2-Liquide cΓ©phalo-rachidienne e. 1- CΓ΄ne mΓ©dullaire 45 / 60 Choisissez seulement une phrase correcte ci-dessous (Picture3) a. 4 – TrapΓ¨ze b. 5 – Pisiforme c. 3 – Lunatum d. 1- ScaphoΓ―de e. 2- TriquΓ©trum 46 / 60 Choisissez seulement une phrase correcte ci-dessous (Picture5) a. 7-Phalange distale b. 3-CuΓ©niforme intermΓ©diaire c. 2-CuΓ©niforme mΓ©diale d. 8-Phalange moyenne e. 9-Phalange proximale 47 / 60 Exploration Fonctionnelle Respiratoire (EFR) (1 seule rΓ©ponse fausse) a. Crise d'asthme sΓ©vΓ¨re est contre indiquΓ© d'EFR b. Toutes les pathologies pulmonaires montrent les variations dβEFR c. Technique pour dΓ©tecter la pathologie dβorigine des voies aΓ©rienne d. Technique pour dΓ©tecter la fonction respiratoire e. Technique pour dΓ©tecter la pathologie des parenchymes pulmonaires 48 / 60 Citez les muscles de la paroi abdominale de dehors en dedans ? a. Muscle grand droit, petite droit, grand oblique, petite oblique b. Muscle droit de lβabdomen, transverse, grand droit, petite droit c. Muscle droit de lβabdomen, grand oblique, petite oblique, transverse d. Muscle oblique externe, interne, transverse, grand oblique, petite oblique e. Muscle droit de lβabdomen, grand oblique, petite oblique, oblique externe 49 / 60 OuΜ se trouve lβhernie de Spiegel de la paroi abdominale? a. Correspond au lieu dβentrecroisement des fibres musculaires des muscles droits et transverses, au niveau de bord externe des muscles droits. b. Correspond au lieu dβentrecroisement des fibres musculaires des muscles obliques et transverses, au niveau de bord externe des muscles droits. c. Correspond au lieu dβentrecroisement des fibres musculaires des muscles transverses et inguinales, au niveau de bord externe des muscles droits. d. Correspond au lieu dβentrecroisement des fibres musculaires des muscles obliques au niveau de bord externe des muscles transverse. e. Correspond au lieu dβentrecroisement des fibres musculaires des muscles transverses, au niveau de bord externe des muscles obliques. 50 / 60 Une jeune femme de 20 ans prΓ©sentant une dyspnΓ©e aiguΓ« de type expiratoire dβapparition surtout la nuit, quel diagnostique Γ©voquez-vous le plus probable ? a. Asthme b. Pneumonie c. Bronchite aiguΓ« d. ΕdΓ¨me aiguΓ« du poumon e. Bronchopneumopathie chronique obstructive (BPCO) 51 / 60 Quel est le diagnostic le plus probable devant une hΓ©moptysie chez une ancienne tuberculose pulmonaire ? a. Embolie pulmonaire b. Cancer pulmonaire c. Dilatation des bronches d. Pneumonie e. Γpanchement pleural 52 / 60 What type of Personal Protective Equipment (PPE) used or additional precaution for physician to examination the TB patient with a fever include cough and sneeze? a. Gown and apron b. Disposable Gloves c. Disposable glove and N 95 mask d. Eyes protection e. Surgical mask 53 / 60 Who is exposed to the risk factor of Nosocomial Pneumonia? a. Patient who is aided with mechanical ventilation b. All of the above c. Post-operation patient who stays in bed without mobility d. Patient in the same ward as pneumonia patient 54 / 60 What is the correct example of handling urinary catheter? a. Staying with the catheter as long as possible to make sure patients can rest in bed without moving too much b. Provide prophylactic antibiotics to all patients with urinary catheter c. Using urinary catheter for patients with flexible mobility d. Wearing gloves when connecting the catheter to patients 55 / 60 Choose that correct Personal Protection Equipment (PPE) HCWs use to taking blood sample from coughing patient. a. Gloves b. Disposable glove and surgical mask c. Surgical mask d. Mask e. Gown 56 / 60 Choose the correct prevention practice against SSI. a. All of the above b. Perform a surgical scrub with antiseptic product immediately before the operation c. Always remove hair on the surgical site before the operation d. Always administer prophylactic antimicrobial agent 57 / 60 How can we avoid/combat AMR? a. Recommend patients to discontinue taking antibiotics immediately when symptoms disappear b. All of the above c. Prescribe antibiotics whenever possible to avoid infection d. Revise the antibiotic guidelines and protocols whenever the new AMR is detected e. Use routine prophylactic antibiotics before operation 58 / 60 Why do patient need to keep respiratory hygiene, when he/she has coughed or sneezed? a. To prevent the close contact people b. To prevent spreading the droplet-borne disease c. To prevent the contamination of pathogens to other people d. To prevent spreading the air-borne disease e. To prevent the nurses to contact patient 59 / 60 Choose the correct IPC standard precautions to apply: a. There are five componence: hand hygiene, PPE, safe handling of equipment, environmental cleaning and health care waste management. b. Hand hygiene, safe handling of equipment, environment cleaning, health care waste management, c. Hand hygiene and to select PPE to use d. Hand hygiene, safe handling of medical equipment, environmental cleaning and hospital cleaning or hygiene. e. hand hygiene, PPE selected, safe handling of equipment, environmental cleaning, prevention needle stick injury, health care waste management and coughing etiquette 60 / 60 Choose the correct example of performing respiratory hygiene. a. None of the above b. All of the above c. Visitor who came to see the flu patient, not wearing any mask d. Patient using a box of tissue while coughing and sneezing e. Doctor shaking hands with all the patients to be friendly Your score isThe average score is 0% Facebook 0% Restart quiz Any comments? Send feedback